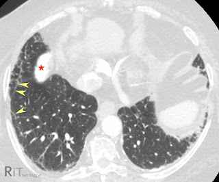
Axial CT image shows subpleural reticulation at the periphery of the lung bases bilaterally. Also note thin linear subpleural lines paralleling the pleural surface (arrowheads). There are several calcified pleural plaques in the diaphragmatic pleura (star).
Facts:
- Only asbestos fibers of 20-150 um in length can reach lower respiratory tract and cause diseases
- Asbestos bodies are formed by macrophages phagocytose the fibers
- Pulmonary fibrosis develops initially in peribronchiolar region and then spreads along peribronchovascular and septal connective tissues, predominantly in the lower lung zones. Cicatricial emphysema and traction bronchiectasis finally ensues.
- Patients usually present late after initial exposure (up to 20 years)
Imaging Findings
- Difficult to discern on radiograph because pleural involvement often is more conspicuous and may obscure early lung findings
- Dot-like opacities in subpleural lung may be an earliest CT finding of asbestosis
- Curvilinear subpleural lines (as in our case) are lines running parallel to and a few millimeters beneath the pleural surfaces
- Thickening of interlobular septa and intralobular lines
- Traction bronchiectasis and honeycomb lungs (late)
Reference:
Lange S, Walsh G. Radiology of chest diseases, 3rd ed, 2007.


No comments:
Post a Comment