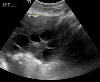
Ultrasound images show enlarged ovaries with multiple cysts in a woman who had received assisted reproduction procedure. Ascites is also present but not shown on these images.
- Complication related to exogenous administration of human chorionic gonadotropin (HCG) for assisted reproduction
- Believed to be due to increased capillary permeability, resulting in fluid shift from intravascular to extravascular compartments
- Broad clinical spectrum, ranging from mild, moderate to severe, but can be life threatening
- Common in mid- to late-luteal phase
- Early signs: abdominal heaviness, tension and pain (due to bilateral ovarian enlargement with multiple cysts)
- Risk factors: young patient (less than 30 years old), underlying polycystic ovaries, high number of follicles and estradiol levels at the time of HCG injection, protocols that utilize GnRH
- Golan classification describes 5 grades of OHSS based on ovarian size, symptoms (abdominal distention, nausea, vomiting, dyspnea), signs (ascites, pleural effusion, hemoconcentration, hypovolemia, oliguria).
Imaging
- Ultrasound most appropriate imaging to confirm clinical suspicion
- Enlarged ovaries with several cysts
- Ascites, pleural effusion
- Necklace sign (string of ovarian follicles close to the surface of the ovary) may indicate an increased risk of developing this syndrome
Reference:
1. Gianaroli L, Ferraretti AP, Fiorentino A. The ovarian hyperstimulation syndrome. Reproductive Med Rev 1996;5:169-184.
2. Golan A, Ron-El R, Herman A, et al. Ovarian hyperstimulation syndrome: an update review. Obstet Gyncol Surv 1989;44:430-440.



No comments:
Post a Comment