![]() |
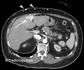
| An axial CT image shows a geographic area of hypervascularity (arrow) in segment IV of the liver. Note enlarged subcutaneous collateral vessels (arrowheads) |
Facts: Focal Hepatic Hot Spot
- Focal area of enhancement in segment IV of liver due to presence of SVC obstruction
- Occurs due to portosystemic shunting between SVC and portal vein
- With SVC obstruction, blood may flow through internal mammary vein --> paraumbilical vein --> portal vein
- Other causes of focal hot spots: Budd-Chiari syndrome (caudate lobe), liver abscess, hemangioma, FNH and HCC
Three Routes of Bypass of Venous Blood in Central Thoracic Venous Obstruction
- Superior route: from subclavian vein to anterior jugular venous system (occuring in subclavian or brachiocephalic venous obstruction)
- Posterior route: azygos-hemiazygos and paravertebral systems
- Anterolateral route: like in our case, this is via anterior intercostal, internal mammary and long thoracic veins to IVC
Reference:
Maldjian PD, Obolevich AT, Cho KC. Focal enhancement of the liver on CT: a sign of SVC obstruction. J Comput Assist Tomogr 1995;19:316-8

No comments:
Post a Comment